健康知识
“大脚骨”,还可以这样治!
- 文:骨五科 董新利
- 审校:邢露
- 日期:2024-07-25
患者王阿姨,拇外翻已经有30余年,曾奔走多家医院都被告知需要手术,而且因为畸形严重,只能做传统切开手术,要打钢板,1年后再做个手术取出钢板。考虑到术后恢复时间长,家中无人照顾,王阿姨一拖再拖,脚趾头越来越歪,疼也越来越厉害了。王阿姨慕名找到我院手足显微外科刘保一教授,“听说您是治疗拇外翻的专家,特意来的,帮看看我这情况能做微创么?”
刘保一接诊后,进行了全面细致的查体,并完善相关检查,结合X光片显示,确诊为重度拇外翻,并表示:我和我的团队会尽全力通过微创帮您解决问题!
王阿姨入住我院骨五科后,刘保一教授团队多次讨论,确定了手术方案:术中切取3个小口,每个小口长约0.5cm,通过小切口对关节周围进行松解并磨除骨赘,结合第一跖骨远端截骨进行矫形,矫形满意后穿入两枚克氏针固定,克氏针针尾置于皮外,术后6周左右拔除克氏针即可。同时刘保一耐心地告诉王阿姨,微创术后当日就可以下地活动,包括回家后买菜、做饭、打扫卫生等日常生活,基本都不受影响。

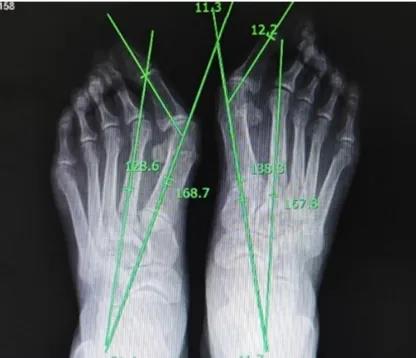
双足拇外翻畸形明显,拇囊处突出,且伴有双足拇趾旋前畸形,第二趾锤状指畸形,局部胼胝体形成。

左足HVA 51.4°,IMA 11.3°;右足HVA 41.7°,IMA 12.2°
经过完善的术前准备工作,入院后第二天,患者即顺利完成了手术治疗,手术持续1个小时左右。术后第一天查房时,换药处置后,当打开纱布的那一刻,看到自己歪了30多年的脚变直了时,王阿姨激动的不得了,声音颤抖地说:“你们真是太厉害了,太感谢你们了。要知道这样我早点来好了,也不用遭这么多年的罪。”术后第二天,王阿姨就办理了出院手续,开开心心地回家了。在后期的随访中了解到,王阿姨恢复特别好。

患者术后外观照片,可见拇外翻畸形已纠正,切口长约5mm,不予缝合且愈合良好。

术后X片示:左足HVA 3°,IMA 7°;右足HVA 2°,IMA 6°
刘保一教授介绍,拇外翻俗称为“大脚骨”,日常生活中很常见。主要表现为拇趾外翻及第1 跖趾关节半脱位或完全性脱位,临床主要表现为前足疼痛、畸形,影响穿鞋以及功能障碍。拇外翻一开始表现为拇指的外翻畸形及第一跖趾关节的肿大,随着畸形的进展,会表现出一系列的病理改变,如第 1 跖骨内收、拇趾外翻、第 1跖骨头骨软骨损伤、第 1 跖趾关节炎、籽骨脱位、拇囊炎、跖籽关节炎、第 1跖骨旋转、跖骨头倾斜以及交叉趾、锤状趾和跖痛症等症状。
刘保一教授提醒,千万不要因为恐惧手术和疼痛,一忍再忍,延误病情,随着技术的不断进步,现在我们已经有了更好的方式,可以通过微创去做拇外翻的矫形手术,而且效果特别好。平均每年手术量约150人,240足左右。
