患者潘某,女,61岁,曾于2006年在庄河市妇幼保健院因子宫多发平滑肌瘤行子宫全切除术。没曾想术后发生了极为罕见的平滑肌瘤肺内转移。2012年,潘某术后复查胸部CT时发现双肺多发肿物,考虑为肺转移瘤。2013年就诊于中国医科大学附属第一医院,行左肺下叶病灶局部切除术,术后病理证实为子宫平滑肌瘤肺内转移。患者院外随访病情一直较平稳,就这样11年过去了。
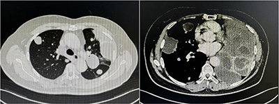
今年3月,潘某自觉胸闷气短,后来症状逐渐加重,体力下降明显,胸口仿佛有千斤巨石压迫一般不能忍受。患者再次复查胸部CT,发现左肺的平滑肌瘤较前明显增大,其中最大一处占据了胸腔三分之二,左肺体积压缩至正常的三分之一,且肺脏内布满了大小不一的平滑肌瘤。患者左肺功能严重受损,生命受到威胁,进行下一步治疗刻不容缓。此病例极为罕见,肺内病变复杂,手术处置困难,患者辗转就医多家医院,最后来到了我院胸外科。面对如此罕见复杂的特殊疾病,胸外科主任赵志龙毅然接收了患者。
入院后为患者安排了详尽的术前检查,医务部组织了包括影像科、妇科、肿瘤科、放疗科、介入科、胸外科、麻醉科、术后ICU等多学科MDT讨论,大家一致认为,手术是治疗本罕见病例,挽救患者生命的唯一治疗手段。

2024年6月28日上午8时,患者在全麻下行左侧胸腔探查术。术中探见巨大的肿瘤占据了大部胸腔,肺脏被肿物压缩到了一角,肺脏内部满是大小不一的囊实性肿物。赵志龙主任为保留患者的肺功能,针对肺脏内小的平滑肌瘤依次核出,创面缝合修补。肺内大平滑肌瘤则应用切割缝合器楔形切除。最大的纵隔平滑肌瘤在分离粘连后也完整切除。经过5个小时的奋战,胸外科赵志龙主任团队成功完成了左胸腔内巨大纵隔肿物及肺部多发平滑肌瘤切除手术。术后核出的中、小平滑肌瘤堆满了一个病理碗,将近20枚。最大的纵隔平滑肌肿瘤直径达到了40厘米,重达5公斤。

患者术后于SICU进行进一步加强治疗,目前,患者恢复良好,已转回胸外科普通病房进一步治疗。