健康知识
多学科协作,守护重症乳腺癌患者
- 文:肿瘤一科 陈曦
- 审校:邢露
- 审核:邵蔚
- 日期:2025-12-18
两个月前,一名中年女性患者由我院乳甲外科转入肿瘤一科继续抗肿瘤治疗,患者明显胸闷、气短,喘憋严重,不能平卧,伴咳嗽、咳白色泡沫痰,即使吸氧状态下仍觉呼吸困难,活动后胸闷、气短症状加重,生活不能自理。追问病史,患者发现左乳包块一年多,乳腺超声提示恶性可能性大,但当时患者未行乳腺包块穿刺取病理,未明确乳腺癌诊断及分型,未进一步治疗,直到两个月前出现明显胸闷、气短,于当地医院就诊查肺CT提示双侧胸腔积液,才入我院乳甲外科进一步治疗,乳甲外科评估后患者不能行乳腺癌手术,遂转入肿瘤一科。
冀学宁主任看过患者并阅片后,分析患者双侧少量胸腔积液,且入院采血,血气分析提示I型呼吸衰竭,化验BNP增高明显,且伴有心衰症状,患者既往无高血压、心脏病病史,少量胸腔积液不会引发急性呼衰、心衰,于是请呼吸一科宋晓萍主任会诊,结合患者D-二聚体稍偏高,且外院心脏超声提示肺动脉高压,考虑患者为乳腺癌转移来源肺肿瘤血栓性微血管病(PTTM)可能,因此对症治疗呼衰、心衰,效果均不理想,应积极治疗原发病-乳腺癌。
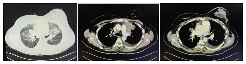
如何治疗乳腺癌,需先完善乳腺肿物穿刺活检,病理明确诊断及免疫组化分型后再定治疗方案,在超声科配合下,患者顺利完成左乳肿物穿刺活检术,病理结果提示患者为HR阳、HER-2阳性乳腺癌,依据最新版CSCO及CACA指南,冀主任制定化疗联合靶向治疗方案,即白蛋白结合紫杉醇联合帕妥珠曲妥珠单抗皮下注射,患者第1周期用药结束后,于床旁活动时出现呼吸困难、喘憋明显,伴血压升高、心率加快,口唇四肢明显紫绀,经吸氧及应用平喘、改善呼吸药物均不见好转,情况危急,请MICU急会诊后立即转入MICU抢救,经高流量吸氧、积极治疗心衰、呼衰、控制心率、胸腔穿刺抽液术放胸水治疗后,患者呼吸困难等不适明显好转,可短时间平躺,完善肺增强CT,发现双肺间质性肺水肿,且左肺上叶、右肺门占位,考虑恶性可能,患者病情逐渐平稳后再次转回肿瘤一科,胸水留病理找到恶性肿瘤细胞,考虑乳腺癌转移来源,冀主任考虑可给予胸腔局部灌注洛铂控制胸水,患者顺利完成第1周期化疗及灌注治疗。
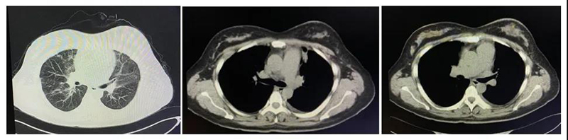
2周后,患者行第2周期化疗联合靶向治疗,并行肺CT检查评估病情,提示左乳肿物较前明显缩小(6.5cm×3.4cm→3.7cm×2.8cm),肺占位也明显缩小,间质性肺水肿明显好转,且胸水也得到有效控制,患者一般状态也较第一次入院明显改善,可平躺一段时间,且不需吸氧,可轻微活动,没有胸闷、气短等不适。目前,患者已顺利完成第3次治疗,已经可以平躺入睡,可从事轻体力活动,一般状态明显好转,生活质量明显提高,科室医护人员也为患者病情得到明显改善而欣慰。
本例患者的成功救治,充分体现了我院多学科协作(MDT)模式的巨大优势,以及肿瘤一科冀学宁主任团队带领作为肿瘤中心-乳腺肿瘤亚专科在乳腺癌治疗方面,给予患者更加规范化、个体化的诊疗,让晚期乳腺癌患者也能得到积极治疗,且保障患者的生活质量。

第一次入院肺增强CT

第二次入院肺CT平扫
